従来のインプラントを覆す!
従来の方法は精密な審査・診断を行っても、最終的な処置段階では術者の経験や感覚に頼らざるを得ないケースが大半でした。
当院のインプラントは審査・診断・処置に至るまで全て、デジタル化にすることで、患者様に適した治療を行うことができます。デジタル化で行うことで、個人差の少ない手術を行うことができます。
必要以上の切開を行わないため、痛みや腫れが少なく、治療の時間も短縮できるため、患者様の負担を最小限ことができます。
顎の骨に人工の根を埋入し、その上に自然な外観の人工歯を装着する治療法です。
人工の根には生体親和性の高いチタンが用いられており、時間の経過とともに顎の骨と結合するため、もともとの歯と同じように使うことができます。
インプラントは、乳歯、永久歯に次ぐ「第三の歯」と言われております。ご自身の歯と同様に、適切なメンテナンスを行えば半永久的に機能します。

インプラントの症例はこちら
従来のインプラントを覆す!
従来の方法は精密な審査・診断を行っても、最終的な処置段階では術者の経験や感覚に頼らざるを得ないケースが大半でした。
当院のインプラントは審査・診断・処置に至るまで全て、デジタル化にすることで、患者様に適した治療を行うことができます。デジタル化で行うことで、個人差の少ない手術を行うことができます。
必要以上の切開を行わないため、痛みや腫れが少なく、治療の時間も短縮できるため、患者様の負担を最小限ことができます。
自分の血液の中から軟組織、硬組織の成長因子を抽出し、骨と歯肉を再生させます。
海外では使用されていますが、日本ではあまり知られていない厚生労働省の認可がおりている、骨や軟組織を再生させる技術です。
治療スピードは向上し、痛みや腫れ、感染を減らすことができます。
インプラントにPRGFを絡ませてから埋入すると、インプラントの周りに骨(紫色)がしっかりできていることがわかります。
左:PRGF無 /
右:PRGF有
抜歯窩に新しい肉と歯肉を早く作ることができ、術後の腫れや疼痛も緩和します。
採血の際の副作用として、まれに一過性の腕の内出血や、一時的な手の痺れなどを発症することがあります。しかしながら本採血は、一般に行われるものと同様の方法であり、これらの症状は通常いずれも重篤なものではありません。
本療法の提供後の副作用として、創部の炎症反応がございますが、一般の治療においてもみられる副作用であり、この療法に起因する症状ではありません。
治療中はダブルドクターと専属歯科技工士が連携を取ります。
インプラントは入れたら終わりではございません。治療終了後は歯科衛生士・管理栄養士も加わりセルフケアと栄養指導などアフターフォローいたします。
| 九州大学大学院(歯学博士) |
| 日本口腔外科学会認定 口腔外科専門医 |
| 日本口腔インプラント学会認定 口腔インプラント専門医 |
| ITI日本支部公認インプラントスペシャリスト |
| 日本アンチエイジング歯科学会認定医 |
| JDA臨床歯科麻酔管理歯科医 |
| 医療法人勝俐会 せきかつひろ歯科口腔クリニック 院長 |
当院では、丁寧なカウンセリングを心がけています。安心・納得していただいてから治療に入っていきます。一人一人の患者様に見合った治療をご提供し、末長く歯の健康をサポートさせていただきたいと思っております。
インプラントをご検討されている方、他院でインプラント治療ができないと言われている方、まず期間や費用について聞いてみたいという方、どんなことでもお気軽にご質問ください。
細川隆司は日本のインプラント治療に関して国内外で高く評価されている歯科医師です。
九州歯科大学の教授として多くの歯科医師を育成し、ハーバード大学でも研究を行うなど、世界水準の経験と知識を有しています。
日本口腔インプラント学会の理事長として、国内の臨床に最新の技術と国際基準を取り入れる取り組みを行っていました。
豊富な臨床経験と研究・教育に基づく実績により、患者様に安心と信頼のインプラント治療をご提供しています。
| 1990年 九州歯科大学大学院 修了・歯学博士取得 |
| 1990年 ハーバード大学 歯学部 研究員・ボストン小児病院 整形外科 研究員 |
| 1991年 九州歯科大学 歯学部 助手(歯科補綴学第二講座) |
| 1995年 広島大学 歯学部 助手(歯科補綴学第一講座) |
| 1999年 広島大学 歯学部附属病院 講師 |
| 2003年 九州歯科大学 教授(歯科補綴学第二講座) |
| 2004年 九州歯科大学 教授(口腔再建リハビリテーション学分野) ・口腔インプラント科 科長 |
| 2019年 九州歯科大学附属病院 副病院長 |
| 2020年 九州歯科大学 副学長 |
| 2022年 日本口腔インプラント学会 理事長 |
| 2024年 九州歯科大学 名誉教授 |
日本口腔インプラント学会(JOMI)について
日本口腔インプラント学会(JOMI)は、2024年8月時点で会員数16,000名を超える、日本国内で最大規模、かつ世界的にも有数のインプラント関連学会です。
インプラント治療の発展と普及を目的とし、歯科医師同士が知識・技術を共有しながら研鑽を積むことで、患者さまにより良い治療を提供することを目指しています。
| 1990年 九州歯科大学大学院 修了・歯学博士取得 |
| 1990年 ハーバード大学 歯学部 研究員・ボストン小児病院 整形外科 研究員 |
| 1991年 九州歯科大学 歯学部 助手(歯科補綴学第二講座) |
| 1995年 広島大学 歯学部 助手(歯科補綴学第一講座) |
| 1999年 広島大学 歯学部附属病院 講師 |
| 2003年 九州歯科大学 教授(歯科補綴学第二講座) |
| 2004年 九州歯科大学 教授 (口腔再建リハビリテーション学分野) ・口腔インプラント科 科長 |
| 2019年 九州歯科大学附属病院 副病院長 |
| 2020年 九州歯科大学 副学長 |
| 2022年 日本口腔インプラント学会 理事長 |
| 2024年 九州歯科大学 名誉教授 |
日本口腔インプラント学会(JOMI)について
日本口腔インプラント学会(JOMI)は、2024年8月時点で会員数16,000名を超える、日本国内で最大規模、かつ世界的にも有数のインプラント関連学会です。
インプラント治療の発展と普及を目的とし、歯科医師同士が知識・技術を共有しながら研鑽を積むことで、患者さまにより良い治療を提供することを目指しています。
2026年2月、当法人の総院長 友枝 亮 が
日本口腔インプラント学会 専門医
の資格を取得しました。
日本には約10万人の歯科医師がいますが、日本口腔インプラント学会(JOMI)**の専門医は約1,400名程度とされています。友枝 亮は同資格に加え、**国際的なICOI認定医(Fellow)も取得し、国内の最新知見・安全基準にも基づいた治療を実践しています。
国際的な視点と国内臨床の蓄積の両面から、患者さま一人ひとりに最適で安全なインプラント治療を提供し、これからも安心と信頼の医療を追求してまいります。
当院では、日本口腔インプラント学会 専門医の資格を有する友枝亮が
すべてのインプラント治療を責任監修。
国際的に認められた知識と技術に基づき、常に安全で、精度の高いインプラント治療をご提供いたします。
ICOI(International Congress of Oral Implantologists) は、1972年に設立された世界最大級のインプラント学会で、本部をアメリカ・ニュージャージー州に置き、現在65か国以上・25,000名超の会員が所属しています。
インプラント治療の教育・研究・臨床の発展を牽引し、国際的に最も信頼される学会の一つです。
Fellow(フェロー) の称号は、国際基準を満たす高度な臨床技術と知識を有し、症例提出・厳正な審査と試験を経て認められた歯科医師にのみ授与されるものです。
ストローマンインプラントは世界のインプラント市場でトップクラスのシェアを誇ります。
科学的エビデンスにより安全性が裏付けられた製品の提供と、研究・開発に対する姿勢が高い支持を得て、世界中の歯科医師・患者さんの信頼につながっています。
欧米人とは異なるアジア人の骨格に合わせ開発されているのが特徴です。造骨細胞の優れた多分化能を持つ「SA surface」を採用しています。初期の固定が容易で、骨との結合がよい優秀なインプラントです。

この度、第三者保証機関「ガイドデント」15周年表彰において、
全国3,000件以上の認証医院の中から「PREMIUM医院(Best50)」に選出されました。
本表彰は、治療実績や再治療率などの客観的データをもとに評価されるもので、当法人が運営する博多駅前院・平尾院・福岡天神院の3院における過去6年間の治療実績が高く評価された結果です。
対象となった治療本数はインプラント・審美セラミック治療:計1,530本。
そのうち再治療は16本で、再治療率はわずか1.0%という極めて低い数値を達成しました。
この結果は、各院の歯科医師・歯科衛生士・スタッフ全員が「美しさ・機能性・長持ち」を大切にし、一本一本の治療に誠実に向き合ってきた積み重ねであり、そして何より、当院を信頼して通ってくださる患者様の存在があってこそ得られたものです。
今回の受賞に伴い、PREMIUM認定トロフィーを拝受するとともに、ガイドデント公式サイトでの医院紹介も強化されました。これにより、患者様がより安心して医院を選んでいただける環境が整っています。
今後も、確かな技術と実績に基づいた治療を通じて、皆様に信頼される歯科医療を提供してまいります。
・最大30万円まで保証。
(インプラント体20万円・上部構造10万円)
・年に2度以上の定期メインテナンスを受けていただく必要があります。
・申込料:¥38,500(税込)(2025年2月現在)
静脈内鎮静法とは、点滴から鎮静薬を少しずつ投与して、リラックスした状態で治療を受ける方法です。
眠るように落ち着いた状態になりますが、完全に眠る全身麻酔とは違い、声をかけると反応できる程度の浅い眠りです。
恐怖心や緊張が強い方でも、安心して治療を受けていただけます。
当院では日本歯科麻酔学会認定医と協力し、静脈内鎮静法を取り入れております。
インプラントを行う際、埋入するのに必要な骨が足りないことがあります。 その場合、ご自身の骨や人工の骨を使用して足りない部分を補う手術です。周りの骨と一体化するまでに半年程かかりますので、その分噛めるまでの期間が延長します。

インプラントを埋入する際に、インプラントを入れるために開けた穴から、自身の骨や人工の骨を送り込み追加していく手術です。
骨の厚みが4〜6mm程度で、少量不足している場合ではこの術式を取ります。

インプラントを埋入する際に、歯茎の側面から穴を開け、ご自身の骨や人工の骨を追加していく手術です。骨の厚みが3mm以下の場合このような術式を取ります。
安心して受けられるシステム・治療期間を短くするシステムを導入しております。
| インプラント相談 | 無料 | |
|---|---|---|
| CT撮影・診断・説明 | ¥24,200 | |
| インプラント総額 ------内訳------ ・ インプラント 埋入オペ ・ プロビジョナル (仮歯) ・ 上部構造作成 |
ストローマン | ¥539,000 |
| オステム | ¥429,000 | |
| 再生医療 PRGF | ¥60,500 | |
| GBR | ¥108,900 | |
| ソケットリフト | ¥108,900 | |
| サイナスリフト | ¥242,000 | |
| 静脈内鎮静 | ¥159,500~¥198,000 | |
| メンテナンス | ¥605 | |
※価格は全て税込表示です。
※2025年2月現在。
内容、価格等は予告なく変更する場合がございます。
詳しくはクリニックまでお問い合わせください。
インプラントは生存率10年以上
平均1本あたり500,000円〜600,000円
1ヶ月あたりかかる費用
600,000円÷(12ヶ月×10年)=約5,000円
(1日あたりかかる費用 5,000÷30日=約166円)
※注意事項
※CT撮影については本数・治療中の撮影回数に関わらず、一律です。
※ご自身の歯のクリーニング(メンテナンス)は保険の範囲でお受けいただけますが、インプラントがある場合1本につき¥605の自費料金がかかります。
年に2度以上の定期検診を受けていただいている場合、最大30万円までの保証が可能です。
(※インプラント体20万円・上部構造10万円)
| インプラント 10年保証 申込料 | ¥38,500 |
|---|
※価格は全て税込表示です。
※2025年2月現在。
内容、価格等は予告なく変更する場合がございます。
詳しくはクリニックまでお問い合わせください。
| 現金 | 15万円以上でお振込み |
|---|---|
| クレジットカード | 分割払い可能 |
| デンタルローン | クレジットカードよりも 利子が低く、 分割最大120回まで可能。 スマホで簡単に手続きが行えます。 |
自費診療は、保険診療同様に医療費控除の対象になります。
医療費控除を活用することで、
●確定申告を行うことで、控除が受けられます。
●通院にかかる交通費も対象になります。
●ご家族で年間総額10万円以上医療費が発生した場合に対象になります。
※領収書は再発行できませんので、お気をつけください。
| 世帯年収 | 医療費控除 発生最低額 |
1年間で支払った医療費の合計 | ||||
|---|---|---|---|---|---|---|
| 20万円 | 30万円 | 50万円 | 70万円 | 100万円 | ||
| 軽減される税額 | ||||||
| 300万円 | 96,000円 | 15,000円 | 30,000円 | 60,000円 | 90,000円 | 106,500円 |
| 500万円 | 100,000円 | 20,000円 | 40,000円 | 80,000円 | 120,000円 | 180,000円 |
| 700万円 | 100,000円 | 30,000円 | 60,000円 | 120,000円 | 180,000円 | 270,000円 |
| 1000万円 | 100,000円 | 30,000円 | 66,000円 | 132,000円 | 198,000円 | 297,000円 |
※横にスクロールできます。
治療費が一定額を超えると、所得に応じて国から補助を受けることができます。詳しくは国税庁HPをご覧ください。
A.インプラントの種類や手術方法、お口の状態により個人差がありますが、3か月から1年くらいかかるケースが多いです。
A.インプラント治療を行うことにより、機能的に大きく改善されます。慣れるまでは多少違和感を感じることもありますが、その期間を過ぎれば、自然の歯と同じように噛むことができます。
A.歯と同じように考えれば、お手入れ次第で一生持つと言えます。インプラントは歯ぐきと相性が良く腐食しにくいチタンという金属を使用します。長持ちさせるためには、年数回のメインテナンス(検診)を受けていただくことが重要です。
A.チタンのインプラントは生体(人体)に馴染みやすく腐食しないもので、拒絶反応を起こさないことが証明されています。体に悪い影響はありませんのでご安心ください。また咬めるようになる事で、様々な部分で全身の健康の増進に役立ちます。
A.インプラント治療は、日々進化しています。審美的にも天然の歯とほとんど見分けがつきません。
A.手術は局所麻酔をしてから行いますので、ほとんど痛みは感じません。ただし、麻酔がきれてからは傷口の痛みが全く無い訳ではありません。手術後1~2日腫れや痛みがでる場合がありますが、傷口の治癒とともに痛みや腫れは次第に治ります。特に痛みに対して不安のある方は、遠慮なく歯科医師にご相談ください。
A.基本的に歯が欠損しているどなたにでも適応できます。しかし一部の全身のご病気の方のご希望に添えない場合も有ります。詳しくは、お気軽にご相談ください。
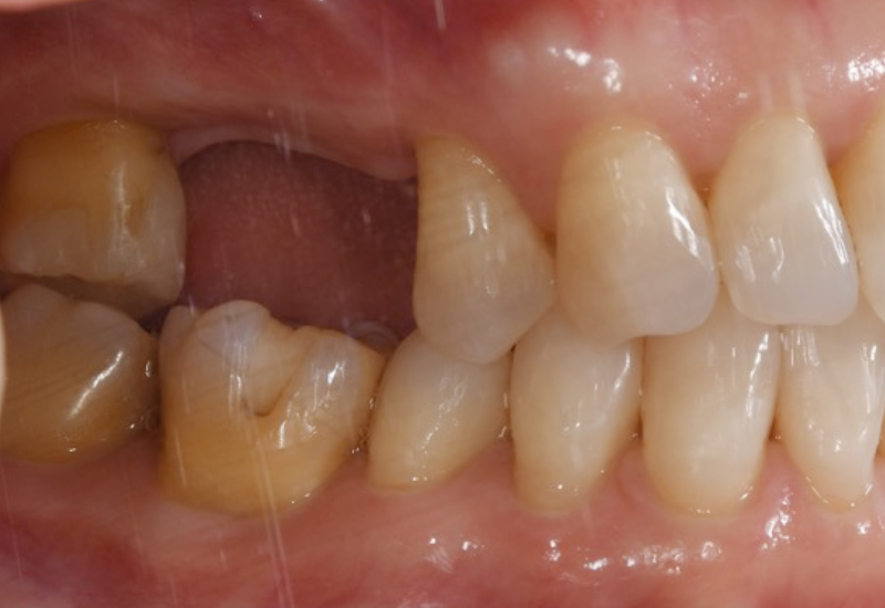
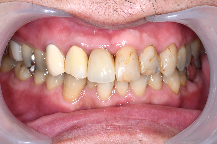
| 主訴 | 歯が痛い |
|---|---|
| 治療期間 | インプラント治療+再生医療PRGFのみ :約4か月 |
| 治療費 | インプラント治療+再生医療PRGFのみ :¥686,400 |
| 治療内容 | う蝕によって失った左下臼歯部に代わって顎の骨にインプラントを埋入し、機能面や審美面の回復を行いました。 |
| 治療のリスク | 出血、腫脹、疼痛、内出血、神経麻痺、 補綴物の脱離、破折、インプラント体の破折、 咬合の違和感、インプラント周囲炎 |
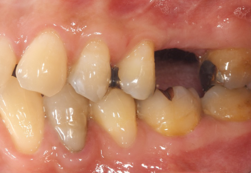
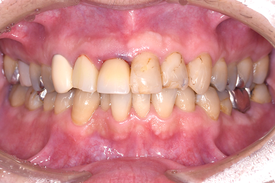
| 主訴 | 右下奥歯に違和感がある |
|---|---|
| 治療期間 | インプラント治療+再生医療PRGFのみ :約5か月 |
| 治療費 | インプラント治療+再生医療PRGFのみ :¥686,400 |
| 治療内容 | う蝕によって失った左上臼歯部に代わって顎の骨にインプラントを埋入し、機能面や審美面の回復を行いました。 |
| 治療のリスク | 出血、腫脹、疼痛、内出血、神経麻痺、 補綴物の脱離、破折、インプラント体の破折、 咬合の違和感、インプラント周囲炎 |
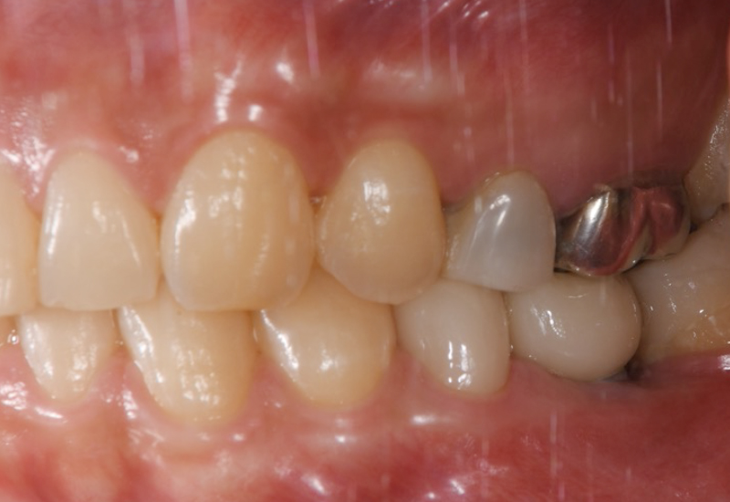
| 主訴 | 歯が染みる |
|---|---|
| 治療期間 | 2本インプラント治療のみ:約6か月 |
| 治療費 | 2本インプラント治療のみ :¥1,100,000 |
| 治療内容 | 右上臼歯部の歯根破折によって失った臼歯部に代わって、顎の骨にインプラントを埋入し、 機能面や審美面の回復を行いました。 |
| 治療のリスク | 出血、腫脹、疼痛、内出血、神経麻痺、 補綴物の脱離、破折、インプラント体の破折、 咬合の違和感、インプラント周囲炎 |
| 主訴 | 食事をしていると前歯が動き出した |
|---|---|
| 治療期間 | 3か月 |
| 治療費 | インプラント治療+再生医療PRGFのみ :¥468,710 |
| 治療内容 | 右上前歯の歯根破折しており、抜歯とともに即日で顎の骨にインプラントを埋入し、 機能面や審美面の回復を行いました。 |
| 治療のリスク | 出血、腫脹、疼痛、内出血、神経麻痺、 補綴物の脱離、破折、インプラント体の破折、 咬合の違和感、インプラント周囲炎 |
| 主訴 | セカンドオピニオン |
|---|---|
| 治療期間 | 4か月 |
| 治療費 | インプラント治療+再生医療PRGFのみ :¥638,255 |
| 治療内容 | 右下臼歯部の歯根破折によって失った臼歯部に代わって、顎の骨にインプラントを埋入し、機能面や審美面の回復を行いました。 |
| 治療のリスク | 出血、腫脹、疼痛、内出血、神経麻痺、 補綴物の脱離、破折、インプラント体の破折、 咬合の違和感、インプラント周囲炎 |
少しでも患者様にとってより良い歯科医療を提供するため、第三者機関に依頼して患者様の満足度調査を行っています。当院に関する率直なご意見を頂いております。
平尾・薬院の歯医者・歯科「友枝歯科・矯正歯科クリニック平尾」は福岡市中央区平尾のおもてなしとアンチエイジングを軸にした新しいクリニックです。幸せを追求し、健康長寿を実現する新しい歯科医療を提供し、社会に貢献します。ホワイトニング、矯正歯科、審美歯科など幅広い治療を行います。