1回で白さを実感する
最新のオフィスホワイトニング
専用の薬剤とライトを使用して、歯科医院で行うオフィスホワイトニングは、施術を一度受けるだけで白さを実感することができるホワイトニング方法です。
白い歯を持っている人は、見た目の印象が5歳も若く見られ、「歯が白いほうが本人の魅力も20%増加する」という結果が公表されており、歯が相手に与える印象の強さは絶大といえます。
一般的な歯科医院では3種類のホワイトニングがおこなわれております。
当院では3種類のホワイトニングに加え特別な手法で「友枝式ホワイトニング」というものをおこなっております。
1回で白さを実感する
最新のオフィスホワイトニング
専用の薬剤とライトを使用して、歯科医院で行うオフィスホワイトニングは、施術を一度受けるだけで白さを実感することができるホワイトニング方法です。

ご自宅でお気軽に歯を白く、
歯の白さをキープしたい方向け
自宅で行うホームホワイトニングなら、自分の好きな時間に気軽に行う事が出来ます。どんな美容法、エステより簡単で非常に高い効果が得られます。

歯を白く、長持ちさせたい方向け
オフィスホワイトニングとホームホワイトニングを併用して行うホワイトニングです。
各ホワイトニングを単体で行うよりも短期間での白さアップが期待でき、効果も長持ちしやすいのが特徴です!

従来のオフィスホワイトニングは1回で白くなりますが色にムラができ、後戻りしやすいです。 また、施術後は痛みのでる可能性が高く、食事制限もあります。
一方、友枝式オフィスホワイトニングは一度の施術で全体が透明感のある白さになります。施術後も痛みが少なく食事制限もありません。使用する薬剤は食品添加物と認められている成分で、安全性が高いといえます。
効率的に着色成分を除去するだけでなく、歯周病や虫歯の原因菌に対する抗菌の作用もあり、虫歯などの予防につながります。
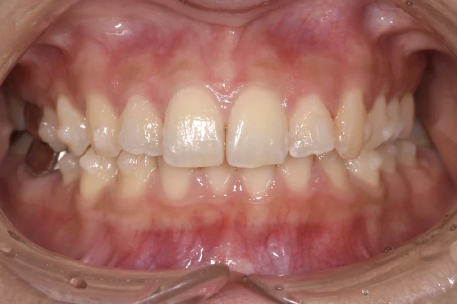
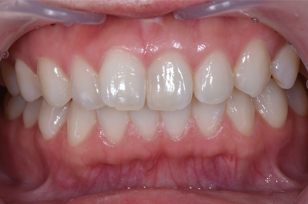
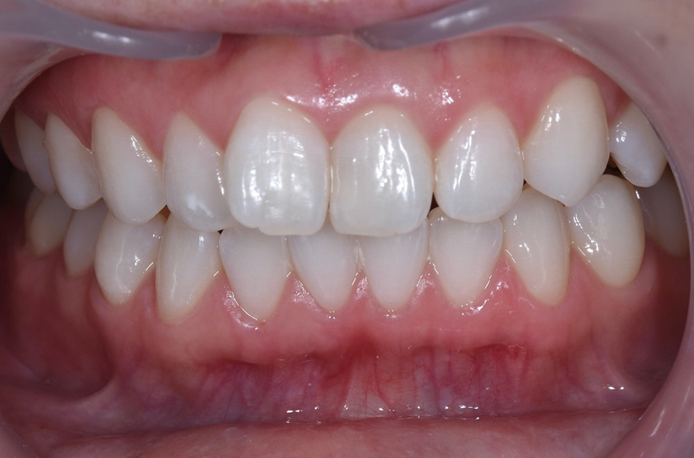
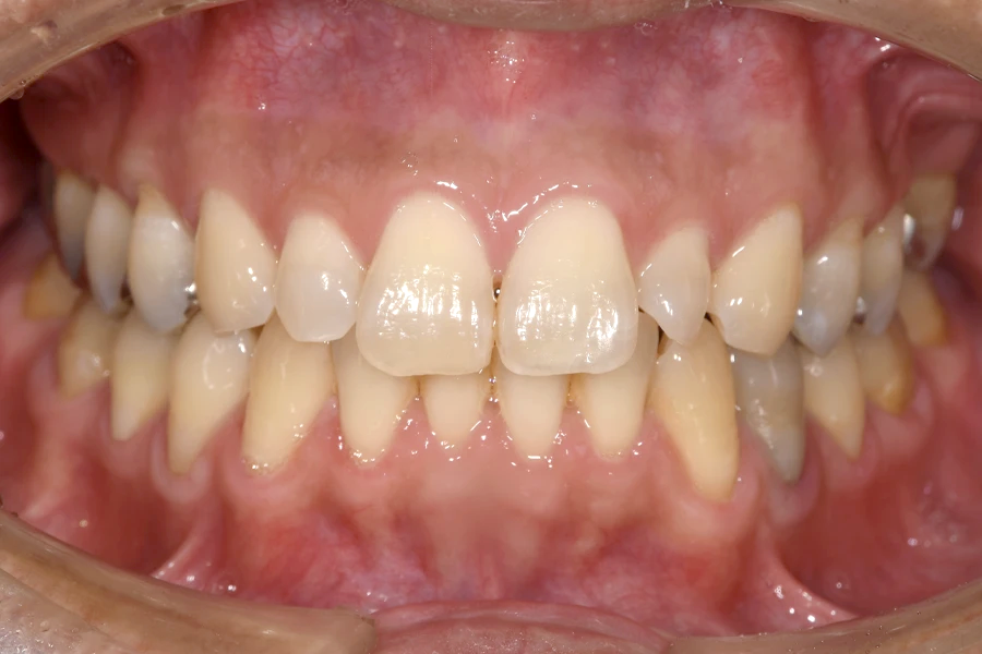
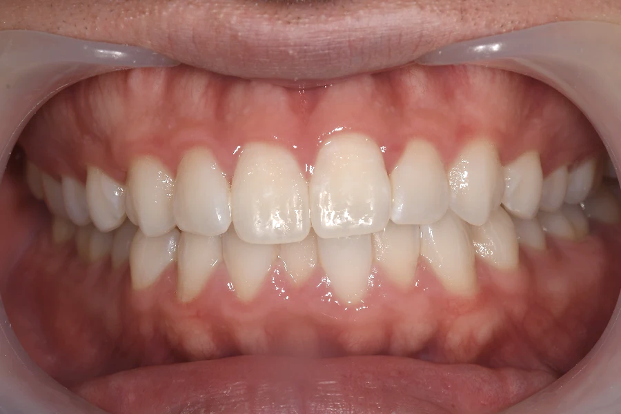
オフィスホワイトニングの1症例をご紹介します。その他症例はページ下部に掲載しております。
| 主訴 | 虫歯を治したい |
|---|---|
| 治療期間 | 1週間 |
| 治療費用 | 110,000円(税込) |
| 治療内容 | オフィスホワイトニング5回コース |
| 治療のリスク | 施術中や施術後、一時的にしみる可能性あり 色が後戻りしていないかメンテナンスが必要 |
| コース名 | 価格 | 1回あたりの価格 |
|---|---|---|
| お試し 1回コース |
¥6,000 (税込¥6,600) |
※ワンフラッシュ のみ |
| 1回コース | ¥41,800 (税込¥45,980) |
¥41,800 (税込¥45,980) |
| 2回コース | ¥76,000 (税込¥83,600) |
¥38,000 (税込¥41,800) |
| 5回コース | ¥125,000(税込) | ¥25,000(税込) |
※2026年1月現在。
ご自宅でできるホワイトニングです。
初回はご来院いただき、患者さまに合ったマウスピースを作製します。これとホームホワイトニング専用の薬剤を使用していただき、ご自身でホワイトニングを継続します。
ホームホワイトニングで使用する薬剤はオフィスホワイトニングの薬剤に比べると低濃度なので、歯が白くなるまで時間がかかります。一方で、効果が長く持続するという大きなメリットがあります。なるべく長く白い歯で過ごしたい方におすすめです
横スクロールでご覧いただけます。
ホワイトニング専門の歯科医師、歯科衛生士が効果や副作用について診断します。
施術前の歯のお色味の記録も取ります。
マウストレーを作製します。
完成後、マウストレーとホワイトニングジェルをお渡しいたします。
マウストレーへホワイトニングジェルを注入し
ホワイトニングを行います。
ホワイトニングジェルが注入されたトレーを装着します。ホワイトニングジェルが歯面全体に行き渡っていることを確認します。
装着時間は担当医の指示に従ってください。
ホワイトニング効果の経過確認を行いますので、担当医に指示された日に来院してください。
ホワイトニング後に効果や副作用について再度診断、アフターフォローを行います。
| 商品名 | 価格 | 内容 |
|---|---|---|
| プレミアム | ¥51,000 (税込¥56,100) |
トレー1セット + ジェル6本 + 専用歯磨き粉1本 |
| スタンダード | ¥43,000 (税込¥47,300) |
トレー1セット + ジェル4本 + 専用歯磨き粉1本 |
| ライト | ¥35,000 (税込¥38,500) |
トレー1セット + ジェル2本 |
※備考にあるジェル1本はTionプラチナの場合。
オパールエッセンスの場合は、2本に変更に変更いたします。
※2025年5月現在。
オパールエッセンスと比較してマイルドなので、知覚過敏の方でホワイトニングにご興味のある方には、まずはこちらをご案内しております。
アメリカから輸入しているオパールエッセンス[opal escence]はより高いホワイトニング効果を期待できます。
ただし、知覚過敏の方には刺激となる可能性があるので歯科医師との相談が必要です。
「友枝式オフィスホワイトニング」と「ホームホワイトニング」を組み合わせたホワイトニングです。
「友枝式オフィスホワイトニング」でスピーディーに白くし、「ホームホワイトニング」で後戻りしにくい透明感のある白さを実現することで、最大限にホワイトニング効果を発揮させることができます。
当院では患者様に大好評のホワイトニングとなっております。
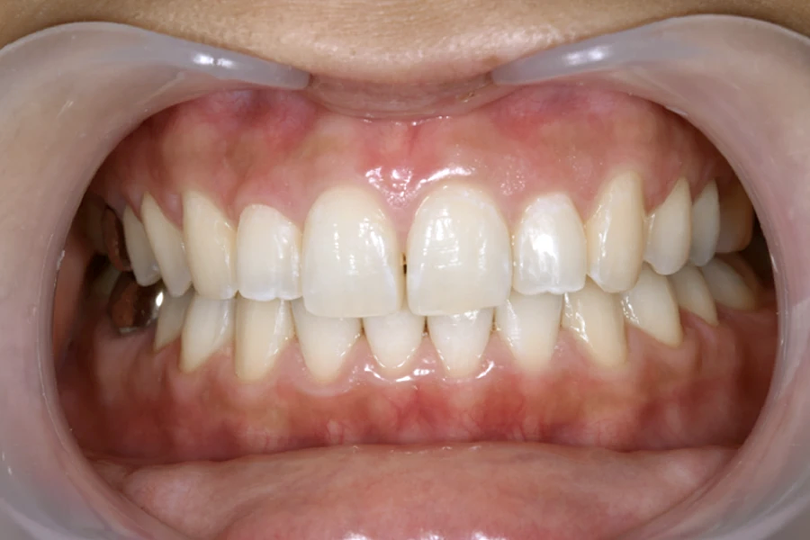
| 主訴 | 矯正 |
|---|---|
| 治療期間 | 1か月(ホワイトニング) |
| 治療費用 | 110,000円(税込) |
| 治療内容 | オフィスホワイトニング5回コース |
| 治療のリスク | 施術中や施術後、一時的にしみる可能性あり 色が後戻りしていないかメンテナンスが必要 |
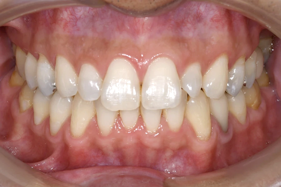
| 主訴 | 歯石をとりたい |
|---|---|
| 治療期間 | 2か月 |
| 治療費用 | 110,000円(税込) |
| 治療内容 | オフィスホワイトニング5回コース |
| 治療のリスク | 施術中や施術後、一時的にしみる可能性あり 色が後戻りしていないかメンテナンスが必要 |
| 主訴 | 黄ばみが気になる |
|---|---|
| 治療期間 | 1日 |
| 治療費用 | 45,980円(税込) |
| 治療内容 | オフィスホワイトニング1回コース |
| 治療のリスク | 施術中や施術後、一時的にしみる可能性あり 1回コースのため色の後戻りが早い可能性あり |
| 主訴 | 虫歯治療希望 |
|---|---|
| 治療期間 | 1か月 |
| 治療費用 | 110,000円(税込) |
| 治療内容 | オフィスホワイトニング5回コース |
| 治療のリスク | 施術中や施術後、一時的にしみる可能性あり 色が後戻りしていないかメンテナンスが必要 |
| 主訴 | 定期検診希望 |
|---|---|
| 治療期間 | 2週間 |
| 治療費 | 110,000円(税込) |
| 治療内容 | マウスピース矯正後、 オフィスホワイトニング5回コース |
| 治療のリスク | 施術中や施術後、一時的にしみる可能性あり 色が後戻りしていないかメンテナンスが必要 |
| 主訴 | 定期検診希望 |
|---|---|
| 治療期間 | 3週間 |
| 治療費 | 110,000円(税込) |
| 治療内容 | オフィスホワイトニング5回コース |
| 治療のリスク | 施術中や施術後、一時的にしみる可能性あり 色が後戻りしていないかメンテナンスが必要 |
| 主訴 | つめものがとれた |
|---|---|
| 治療期間 | 1か月 |
| 治療費 | 110,000円(税込) |
| 治療内容 | オフィスホワイトニング5回コース |
| 治療のリスク | 施術中や施術後、一時的にしみる可能性あり 色が後戻りしていないかメンテナンスが必要 |
| 主訴 | ホワイトニングを行いたい |
|---|---|
| 治療期間 | 2週間 |
| 治療費 | デュアルホワイトニング(キャンペーン) 98,450円(税込) |
| 治療内容 | 歯医者さんで行うオフィスホワイトニングを3回行いながら 自宅で行うホームホワイトニングを併用して行いました。 その後「上の前歯の形を変えたい」と希望があり、 セラミック治療を実施しました。 |
| 治療のリスク | 長時間おこなうと一時的にしみる可能性あり 色が後戻りしていないかメンテナンスが必要 |
| 主訴 | 定期検診 |
|---|---|
| 治療期間 | 3週間 |
| 治療費 | デュアルホワイトニング(キャンペーン) 98,450円(税込) |
| 治療内容 | 歯医者さんで行うオフィスホワイトニングを3回行いながら 自宅で行うホームホワイトニングを併用して行いました。 |
| 治療のリスク | 長時間おこなうと一時的にしみる可能性あり 色が後戻りしていないかメンテナンスが必要 |
| 主訴 | 歯を白くしたい |
|---|---|
| 治療期間 | 3週間 |
| 治療費 | デュアルホワイトニング(キャンペーン) 98,450円(税込) |
| 治療内容 | 歯医者さんで行うオフィスホワイトニングを3回行いながら 自宅で行うホームホワイトニングを併用して行いました。 |
| 治療のリスク | 長時間おこなうと一時的にしみる可能性あり 色が後戻りしていないかメンテナンスが必要 |
| 主訴 | 歯を白くしたい |
|---|---|
| 治療期間 | 3週間 |
| 治療費 | デュアルホワイトニング(キャンペーン) 98,450円(税込) |
| 治療内容 | 歯医者さんで行うオフィスホワイトニングを3回行いながら 自宅で行うホームホワイトニングを併用して行いました。 |
| 治療のリスク | 長時間おこなうと一時的にしみる可能性あり 色が後戻りしていないかメンテナンスが必要 |
| 主訴 | 定期検診希望 |
|---|---|
| 治療期間 | 3週間 |
| 治療費 | ホームホワイトニング 38,500円(税込) |
| 治療内容 | 自分専用のカスタムトレーを作り、 3週間継続的にホームホワイトニングを行いました。 |
| 治療のリスク | 長時間おこなうと一時的にしみる可能性あり 色が後戻りしていないかメンテナンスが必要 |
少しでも患者様にとってより良い歯科医療を提供するため、第三者機関に依頼して患者様の満足度調査を行っています。当院に関する率直なご意見を頂いております。
平尾・薬院の歯医者・歯科「友枝歯科・矯正歯科クリニック平尾」は福岡市中央区平尾のおもてなしとアンチエイジングを軸にした新しいクリニックです。幸せを追求し、健康長寿を実現する新しい歯科医療を提供し、社会に貢献します。ホワイトニング、矯正歯科、審美歯科など幅広い治療を行います。