マウスピース矯正の症例
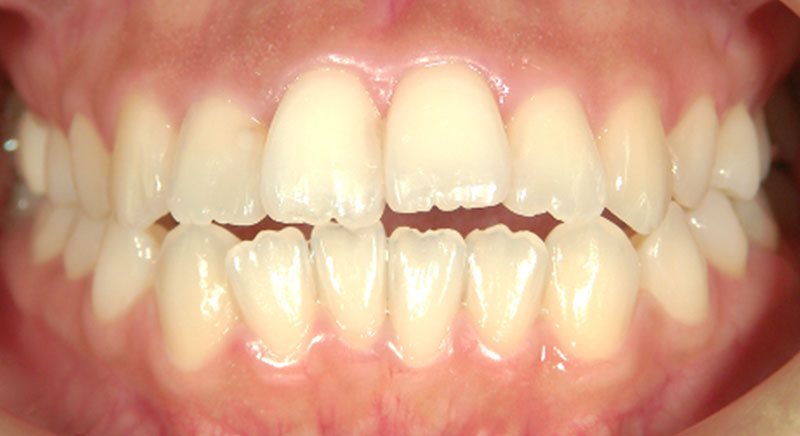
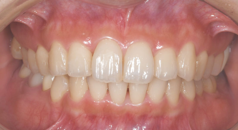
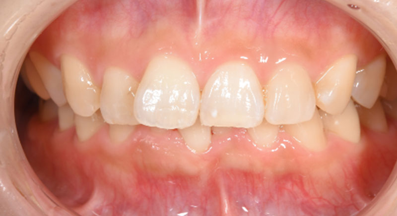
case1
術前
術後
| 主訴 | 見た目を治したい、歯を白くしたい |
|---|---|
| 治療期間 | 1年6か月 |
| 治療費 | マウスピース矯正と ホームホワイトニングセット 税込み 1,022,350円 |
| 治療内容 | マウスピース矯正と ホームホワイトニングセット 矯正後、審美歯科治療 |
| 治療のリスク | 後戻りする可能性があるので リテーナーを矯正期間以上はつける |
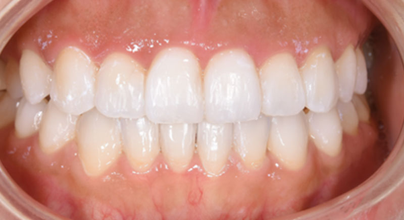
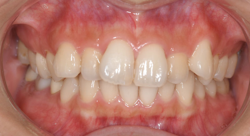
case2
術前
術後
| 主訴 | 歯並びを治したい |
|---|---|
| 治療期間 | 5か月 |
| 治療費 | 部分マウスピース矯正(モニターキャンペーン)と ホワイトニングセット 税込み 422,596円 |
| 治療内容 | 部分マウスピース矯正とホームホワイトニング 終了後、審美歯科治療 |
| 治療のリスク | 後戻りする可能性があるので リテーナーを矯正期間以上はつける |
case3
術前
術後
術前
術後
| 主訴 | 歯並びを治したい |
|---|---|
| 治療期間 | 1年9か月 |
| 治療費 | 税込み 1,023,800円 |
| 治療内容 | 精密検査とマウスピース矯正と審美歯科治療 |
| 治療のリスク | 後戻りする可能性があるので リテーナーを矯正期間以上はつける |
case4
術前
術後
| 主訴 | 前歯で噛めない、 奥歯だけで食事するのが困っている |
|---|---|
| 治療期間 | 3年3か月 |
| 治療費 | 税込み 980,000円 |
| 治療内容 | マウスピース矯正 |
| 治療のリスク | 後戻りする可能性があるので リテーナーを矯正期間以上はつける |
case5
術前
術後
| 主訴 | 右上が気になる、 下顎の歯並びを治したい |
|---|---|
| 治療期間 | 3年 |
| 治療費 | 税込み 980,000円 |
| 治療内容 | マウスピース矯正 |
| 治療のリスク | 後戻りする可能性があるので リテーナーを矯正期間以上はつける |
case6
術前
術後
| 主訴 | 全体的に引っ込めたい、 口ゴボが気になる |
|---|---|
| 治療期間 | 1年8か月 |
| 治療費 | マウスピース矯正 税込み 980,000円 |
| 治療内容 | マウスピース矯正と前歯審美歯科治療 |
| 治療のリスク | 後戻りする可能性があるので リテーナーを矯正期間以上はつける |
case7
術前
術後
| 主訴 | 歯並びをきれいにしたい |
|---|---|
| 治療期間 | 6か月 |
| 治療費 | 税込み 1,024,000円 |
| 治療内容 | マウスピース矯正 |
| 治療のリスク | 後戻りする可能性があるので リテーナーを矯正期間以上はつける |
case8
術前
術後
| 主訴 | 歯並びをきれいにしたい、 歯をきれいに磨けるようになりたい |
|---|---|
| 治療期間 | 1年1か月 |
| 治療費 | 税込み 1,024,000円 |
| 治療内容 | マウスピース矯正 |
| 治療のリスク | 後戻りする可能性があるので リテーナーを矯正期間以上はつける |
case9
術前

術後
| 主訴 | 歯並びをきれいにしたい |
|---|---|
| 治療期間 | 1年6か月 |
| 治療費 | 税込み 1,024,000円 |
| 治療内容 | マウスピース矯正 |
| 治療のリスク | 後戻りする可能性があるので リテーナーを矯正期間以上はつける |